Basal Ganglia Calcification and Parkinsonism Symptoms Due to Secondary Hypoparathyroidism
2 Department of Immunology, Immunology Research Center, Tabriz University of Medical Sciences, Tabriz, Iran
Received: 27-Apr-2024, Manuscript No. AMHSR-24-133251; Editor assigned: 30-Apr-2024, Pre QC No. AMHSR-24-133251 (PQ); Reviewed: 14-May-2024 QC No. AMHSR-24-133251; Revised: 21-May-2024, Manuscript No. AMHSR-24-133251 (R); Published: 28-May-2024
Citation: Rad SG, et al.. Basal Ganglia Calcification and Parkinsonism Symptoms Due to Secondary Hypoparathyroidism. Ann Med Health Sci Res. 2025;15:1-3
This open-access article is distributed under the terms of the Creative Commons Attribution Non-Commercial License (CC BY-NC) (http://creativecommons.org/licenses/by-nc/4.0/), which permits reuse, distribution and reproduction of the article, provided that the original work is properly cited and the reuse is restricted to noncommercial purposes. For commercial reuse, contact reprints@pulsus.com
Abstract
Basal Ganglia Calcification (BGC) is a rare radiological finding often associated with various neurological disorders, including Parkinsonism. Secondary hypoparathyroidism, characterized by insufficient Parathyroid Hormone (PTH) production, can lead to calcium imbalance and subsequent deposition in the basal ganglia, contributing to neurodegenerative symptoms. This condition presents with Parkinsonism features such as bradykinesia, rigidity and tremors. The interplay between low PTH levels and disturbed calcium homeostasis plays a key role in the pathogenesis of BGC and its neurological consequences. Early recognition and management of hypoparathyroidism are crucial to prevent further progression of Parkinsonian symptoms associated with basal ganglia calcification.
Keywords
Fahr's disease; Basal ganglia calcification; Hyperparathyroidism; Parkinsonism
Introduction
Basal ganglia calcification, also known as Fahr's disease, is a rare neurological disorder characterized by the abnormal accumulation of calcium deposits in the basal ganglia, which are a group of nuclei located deep within the brain. The basal ganglia play a crucial role in various motor and non-motor functions, including movement regulation, cognition and emotion. The clinical features are: Parkinsonism, ataxia, headache, seizures, vertigo, stroke-like events orthostatic hypotension, tremor, dysarthria and paresis [1].
Secondary Parkinsonism refers to a set of symptoms similar to those of Parkinson's disease but caused by factors outside the typical degenerative process that leads to Parkinson's. Basal ganglia calcification is a condition that can result in secondary Parkinsonism [2].
Secondary hypoparathyroidism is a medical condition characterized by insufficient secretion or action of Parathyroid Hormone (PTH) due to factors external to the parathyroid glands [3].
Basal ganglia calcifications and Parkinsonian symptoms secondary to secondary hypoparathyroidism are rare but can occur in some cases.
Method
In this study, the relationship between basal ganglia calcification in a 72-year-old patient with secondary Parkinsonism and secondary hypoparathyroid symptoms was investigated. Our research shows that although the combination of these diseases is rare, it is not impossible. The case studied by us had a history of thyroidectomy due to nodular goitre without effective treatment, which was seriously investigated with the onset of Parkinson's symptoms and seizures. The purpose of this report is to increase the awareness of physicians, prompt timely diagnosis and inform appropriate management strategies for such unusual manifestations.
Case Presentation
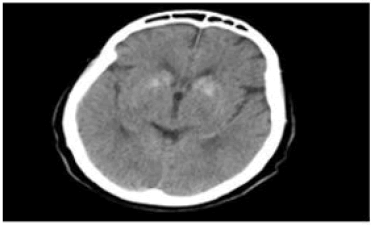
Our case was a 72-year-old woman with a history of thyroidectomy due to nodular goiter was treated with levothyroxine for 15 years ago. The patient has not had regular medical visits. She has had Parkinson's movements for 5 years ago. She has also had paresthesias around her mouth and hands for 1 year ago, which have not been investigated. The patient went to the emergency room due to decreased consciousness and convulsive movements and was admitted to the hospital because of profound hypocalcemia. The tests performed for the patient were as described in Table 1. The patient was diagnosed with iatrogenic hypoparathyroidism and in the brain CT (Figure 1), she had basal ganglia calcification, which was the cause of Parkinson's disease in this patient.
| Test | Result | Normal range | Unit |
|---|---|---|---|
| Ca | 304 | 8.5-10.5 | mg/dL |
| ph | 9.7 | 2.6-4.5 | mg/dL |
| Ionized-Ca | 0.3 | 1.05-1.3 | mmol/dL |
| PTH | 10 | - | - |
Table 1: Laboratory parameters of the patient.
Results and Discussion
The diagnosis of Fahr's disease is based on the presence of basal ganglia calcification along with normal levels of serum calcium and phosphorus [4]. It is necessary to pay attention to this point that Fahr's disease must be distinguished from Fahr's syndrome, in which there are specific causes for the calcification of menstrual nodules (such as hypoparathyroidism) and also from the radiological classification of nodules without clinical symptoms. The specific cause, which is an accidental finding It is seen in 0.7 to 0.9 percent of cases and is seen mainly in people over 60 years old [5]. Although it generally seems to be an idiopathic disease, recently, a relationship with the long arm of chromosome 14 has been found in a family with several affected members. Dilip Sapkota, et al. reported a case of 61-year-old female patient who initially presenting with a slow walking pace two years prior, her condition evolved to include right-hand tremors, affecting her ability to perform daily tasks. Six months before seeking medical advice, she noted deteriorating speech quality slow and slurred-compounded by swallowing difficulties with solid foods, leading to choking episodes [6]. They reported case of late-onset Fahr's disease accompanied by calcification of the basal ganglia has highlighted the importance of considering Fahr's disease in the differential diagnosis for elderly patients presenting with cognitive deficits reminiscent of Alzheimer's disease and movement abnormalities akin to Parkinson's disease.
It is possible that tissue damage due to free radicals or abnormal iron transfer played a role in igniting the calcification process of basal ganglia [7]. The onset of the disease at the age of 20-40 years is accompanied by schizophrenic psychoses and catatonic symptoms and the onset between the ages of 40-60 years is associated with dementia and arthritis. Its most common neurocognitive symptoms are parkinsonism, chorea, dystonia, tremor, walking disorder, dysarthria, convulsions and myoclonus and the pattern of cognitive impairment found in it is Frontal subcortical type [8]. Depression has also been relatively common, but mania secondary to Fahr's disease has been reported very rarely. This hypothesis that there is damage to the limbic system, menstrual complexes and hypothalamus in mood disorders is also confirmed by the symptoms of this disorder. According to the findings of biological researchers, the limbic apparatus and the menses and hypothalamus glands are closely related. Timely identification of this condition plays a pivotal role in the selection of appropriate therapeutic interventions and in prognosticating the outcomes of related disorders.
Also, individuals with hyperparathyroidism may have various neurological symptoms similar to those of Parkinsonism, such as muscle weakness, reduced mobility and tremors, caused by changes in calcium levels impacting neuromuscular function.
Diagnosing Fahr's disease alongside hyperparathyroidism requires thorough evaluation. Treating hyperparathyroidism to address the calcium imbalance may help slow down the growth of calcification and related neurological symptoms.
Conclusion
Overall, the complicated relationships between hyperparathyroidism, Fahr's disease and Parkinsonism emphasize the challenges in detecting and treating illnesses that include both endocrine and neurology. Hyperparathyroidism's disruption of calcium and phosphate balance may greatly affect the development of neurological disorders including Fahr's disease and Parkinsonism, emphasizing the need of a thorough diagnostic strategy. To effectively treat these diseases, a multidisciplinary approach is needed to address both the underlying endocrine abnormalities and the accompanying neurological symptoms. Hyperparathyroidism may worsen or imitate the symptoms of Fahr's disease and Parkinsonism, highlighting the need for consistent monitoring and prompt action. Understanding the connections between these problems may result in more precise diagnoses, customized therapies and better results for people dealing with both endocrine and neurological disorders.
Acknowledgments
The authors express their gratitude for the valuable contribution made by the patient in providing blood donation.
The authors appreciate support provided by Imam Reza Hospital, Tabriz, Iran.
Author Contributions
All authors approved the final manuscript.
Competing Interests
The authors declare that they have no competing interests.
Funding
Not applicableAvailability of Data and Materials
Considering that this study is about rare disease availability to patients and data may hard to some extent.
Written informed permission from the patient to publish the facts and photographs was granted.
References
- Donzuso G, Mostile G, Nicoletti A, Zappia M. Basal ganglia calcifications (Fahr's syndrome): Related conditions and clinical features. Neurol Sci. 2019;40:2251-2263.
[Crossref] [Google Scholar] [PubMed]
- Hollerhage M. Secondary Parkinsonism due to drugs, vascular lesions, tumors, trauma and other insults. Int Rev Neurobiol. 2019;149:377-418.
[Crossref] [Google Scholar] [PubMed]
- Madubashini LADT, Senevirathne SAA, Silva FHDS. Parkinsonism secondary to iatrogenic hypoparathyroidism. J Indian Acad Geriatr. 2022;18:147-149.
- Manyam BV. What is and what is not ‘Fahr's disease’. Parkinsonism Relat Disord. 2005;11:73-80.
[Crossref] [Google Scholar] [PubMed]
- Chiu HF, Lam LC, Shum PP, Li KW. Idiopathic calcification of the basal ganglia. Postgrad Med J. 1993;69:68-70.
[Crossref] [Google Scholar] [PubMed]
- Sapkota D, Neupane S, Pant P, Shrestha O, Singh P, et al. Fahr's disease presenting as Parkinson's disease along with dysphagia and dysarthria: A case report. Clin Case Rep. 2023;11.
[Crossref] [Google Scholar] [PubMed]
- Trautner RJ, Cummings JL, Read SL, Benson DF. Idiopathic basal ganglia calcification and organic mood disorder. Am J Psychiatry. 1988;145:350-353.
[Crossref] [Google Scholar] [PubMed]
- Shoib S, Maqbool Dar M, Arif T, Bashir H, Ahmed J. Fahr's Disease Presenting as Mania: A Case Report. Iran J Psychiatry Behav Sci. 2012;6:102-104.
[Google Scholar] [PubMed]



The Annals of Medical and Health Sciences Research is a monthly multidisciplinary medical journal.